Lichen ruber planus (Knötchenflechte)
Lichen ruber planus (Knötchenflechte)
Dieser Artikel wird Ihnen bereitgestellt von Deximed. Mehr erfahren
Was ist Lichen ruber planus?
Definition
Lichen ruber planus, auch Lichen ruber, Lichen planus oder Knötchenflechte genannt, ist eine chronische, entzündliche Autoimmunerkrankung der Haut und der Schleimhäute.
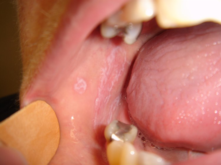
Die Erkrankung äußert sich durch eckige, flache Hautveränderungen, die stark jucken. Häufig sind auch die Schleimhäute betroffen. Dies zeigt sich am häufigsten an der Innenseite der Wangen, wo weiße Flecken und Streifen zu sehen sind (siehe Lichen planus in der Mundhöhle).
Symptome
Auch wenn Lichen ruber überwiegend auf der Haut vorkommt, kann die Krankheit auch die Mundschleimhaut, die Schleimhäute der Genitalien und/oder die Nägel betreffen.
Der Ausschlag tritt insbesondere an Beugeseiten, z. B. den Handflächenseiten der Handgelenke und Unterarme, sowie am Knöchel auf.
Merkmale des Hautausschlags
- Starker Juckreiz
- Bis zu 1 cm große, eckige, flache Hautveränderungen
- Oft kleine Gruppen mit Hautausschlag
- Violette Farbe mit roten Kanten und glatt-glänzender Oberfläche
Merkmale der Schleimhautveränderungen im Mund
- Der orale Lichen planus zeigt sich meist als weiße Flecken und netzartige Streifen, die die Wangenschleimhaut oder die Zunge befallen können.
- Auch rote Flecken und wunde Stellen können auftreten.
- Schleimhautveränderungen können das einzige Zeichen der Erkrankung sein.
- Die Flecken können keine Beschwerden verursachen oder brennend und schmerzhaft sein.
Weitere Lokalisationen
- Bei Frauen kann auch die Scheide (vulvovaginaler Lichen planus) und bei Männern die Eichel angegriffen werden.
- Außerdem treten bei 10 % der Betroffenen Nagelveränderungen (Längslinien) auf.
- Bei Befall der Kopfhaut kann Haarausfall auftreten.
Ursachen
Die Ursache ist in der Regel unbekannt. Wahrscheinlich liegen Autoimmunreaktionen zugrunde.
Es gibt zudem ein erhöhtes Vorkommen bei Patient*innen mit Hepatitis C. Vermutlich besteht auch ein Zusammenhang mit Diabetes, Allergenen und anderen Auslösern wie Tätowiertinte. Auch psychische Belastung und Stress spielen möglicherweise eine Rolle.
Häufigkeit
Die Erkrankung kommt bei 0,2–1,2 % der Bevölkerung vor. Sie kann in jedem Alter neu auftreten, meist jedoch im Alter von 30–60 Jahren.
Untersuchungen
- Die Diagnose wird auf der Grundlage der typischen Veränderungen der Haut und der Schleimhäute gestellt.
- Evtl. wird eine Gewebeprobe der befallenen Haut oder Schleimhaut untersucht.
Behandlung
- Bei einem akut aufgetretenen Lichen ruber der Haut genügt es, die Therapie so lange fortzuführen, bis alle Hautveränderungen abgeheilt sind. Das ist meist nach einigen Wochen der Fall.
- Andere Formen des Lichen ruber, besonders bei Beteiligung der Schleimhäute, erfordern je nach Verlauf eine monate- bis jahrelange Therapie.
- Wenn Medikamente die Hautveränderungen verursacht haben, sollten diese abgesetzt werden.
Medikamente
- Starker Juckreiz kann mit antiallergischen Medikamenten (Antihistaminika) gelindert werden.
- Lichen ruber der Haut wird mit stark wirksamen Kortisonsalben behandelt.
- Auf Schleimhautveränderungen wird Kortison als Paste oder Lösung aufgetragen.
- Wenn Genitalien betroffen sind, können auch sog. Calcineurininhibitoren, die das Immunsystem hemmen, angewendet werden.
- Bei schwerer Erkrankung können Kortisontabletten verschrieben werden.
- Wenn andere Behandlungen nur schlecht wirken, können Vitamin-A-ähnliche Mittel (sog. Retinoide) oder Medikamente zur Unterdrückung des Immunsystems (z. B. Ciclosporin A) eingesetzt werden.
Phototherapie
- Bei schwerer Erkrankung kann ggf. zusätzlich eine Lichttherapie eingesetzt werden.
- Dabei werden die betroffenen Stellen mit UV-A-Licht bestrahlt. Evtl. wird vorher Psoralen zur Photosensibilisierung aufgetragen.
Autorin
- Martina Bujard, Wissenschaftsjournalistin, Wiesbaden
Quellen
Literatur
Dieser Artikel basiert auf dem Fachartikel Lichen ruber planus. Nachfolgend finden Sie die Literaturliste aus diesem Dokument.
- Altmeyer P. Lichen Planus. Enzyklopädie Dermatologie. Springer 2016. www.enzyklopaedie-dermatologie.de
- Cooper S, Munidasa D. Lichen planus. BMJ Best Practice. Last reviewed: 8 Jan 2023; last updated: 08 Apr 2020. bestpractice.bmj.com
- Schilling L, Vogt T. Lichen ruber planus: Besser verstehen, besser behandeln! Hautarzt 2018; 69:100-8. PMID: 29330580 PubMed
- Deutsches Institut für Medizinische Dokumentation und Information (DIMDI): ICD-10-GM Version 2023, Stand 16.09.2022. www.dimdi.de
- Bornstein MM, Navarini AA, Schriber M, Baumhoer D. Therapie des symptomatischen oralen Lichen planus mittels intraläsionaler Kortikosteroidinjektionen. Swiss Dent J 2022; 132: 706-7. PMID: 36200758 PubMed
- Deutsche Dermatologische Gesellschaft. UV-Phototherapie und Photochemotherapie. AWMF-Leitlinie Nr. 013-029. S1, Stand 2015 (abgelaufen). www.awmf.org
- Agha-Hosseini F, Sheykhbahaei N, SadrZadeh-Afshar MS. Evaluation of Potential Risk Factors that contribute to Malignant Transformation of Oral Lichen Planus: A Literature Review. J Contemp Dent Pract 2016; 17: 692-701. PMID: 27659090 PubMed
Dieser Artikel wird Ihnen bereitgestellt von Deximed.
Lesen Sie hier den vollständigen Originalartikel.
Die Inhalte auf team-praxis.de stellen keine Empfehlung bzw. Bewerbung der beschriebenen Methoden, Behandlungen oder Arzneimittel dar. Sie ersetzen nicht die fachliche Beratung durch eine*n Ärzt*in oder Apotheker*in und dürfen nicht als Grundlage für eine eigenständige Diagnose und Behandlung verwendet werden. Konsultieren Sie bei gesundheitlichen Fragen oder Beschwerden immer Ihre Ärztin oder Ihren Arzt!
Lesen Sie dazu mehr in unseren Haftungshinweisen.





