Seborrhoische Keratose (Alterswarze)
Seborrhoische Keratose (Alterswarze)
Dieser Artikel wird Ihnen bereitgestellt von Deximed. Mehr erfahren
Was sind seborrhoische Warzen (seborrhoische Keratosen)?
Definition
Seborrhoische Warzen sind gutartige Hauttumore.
Symptome
Typischerweise entstehen die Warzen an Brust, Rücken, Kopf und Hals. Oft verursachen sie keine Beschwerden. In einigen Fällen führen sie jedoch zu Juckreiz. Durch Kratzen oder Reiben an Kleidung können Warzen bluten. Manchmal lösen sich Teile einer Warze ab.
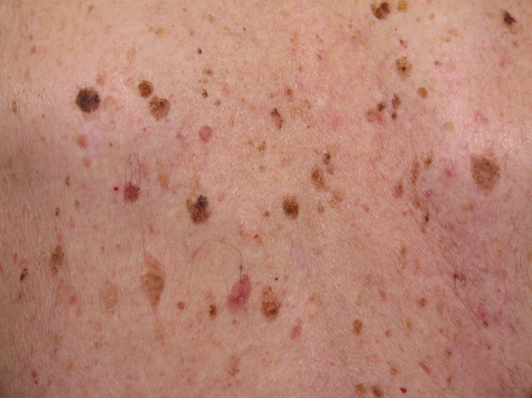
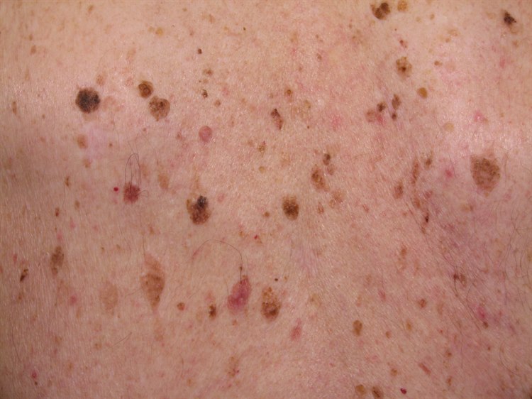
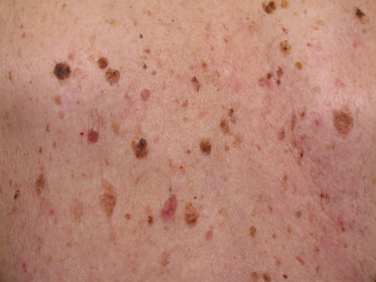
Die Keratosen können fettig glänzend sein, aber auch zerklüftet oder verhornt. Sie wirken wie aufgeklebt. Oft erinnern die Warzen entfernt an flachgedrückte Rosinen. Sie ragen deutlich über die Hautoberfläche hinaus und können verschiedene Farben annehmen – von hell bis braunschwarz. Ihre Größe reicht von wenigen Millimetern bis zu mehreren Zentimetern im Durchmesser. Manche Patient*innen empfinden eine hohe Anzahl an Keratosen als störend.
In folgenden Fällen sollten Sie die Warzen unbedingt ärztlich untersuchen lassen:
- Warzen im Gesicht (jedoch sind besonders bei dunkelhäutigen Menschen Keratosen im Gesicht möglich)
- Warzen an den Handinnenflächen und Fußsohlen sowie auf der Schleimhaut
- Schnelle Größenzunahme
- Farbveränderungen
- Blutungen und/oder Wunden ohne mechanische Reizung (z. B. Kratzen oder reibende Kleidung)
- Veränderte Wahrnehmung von Juckreiz, Schmerzen oder Stechen
Ursachen
Die Ursachen sind noch nicht vollständig bekannt. Klar ist jedoch, dass die Wahrscheinlichkeit mit dem Lebensalter steigt. Möglicherweise spielen genetische Faktoren eine Rolle: Studien haben gezeigt, dass die Warzen in bestimmten Familien gehäuft auftreten.
Die Rolle ultravioletter Strahlung ist umstritten. Allerdings gibt es Hinweise auf einen Zusammenhang mit der Sonneneinstrahlung. So entstehen seborrhoische Keratosen häufig in Hautbereichen, die viel Sonnenlicht ausgesetzt sind. Und in Gebieten mit hoher Sonneneinstrahlung – wie Australien – sind die Warzen besonders verbreitet.
Häufigkeit
Es handelt sich um den häufigsten gutartigen Tumor des Menschen. Fast jeder Mensch entwickelt im Laufe seines Lebens mindestens eine seborrhoische Keratose – meistens ab dem 50. Lebensjahr. Die Anzahl steigt mit dem Alter. Alle Bevölkerungsgruppen sind ähnlich häufig betroffen.
Untersuchungen
Die Warzen haben in der Regel ein typisches Aussehen, sodass die Diagnose meist einfach zu stellen ist. Bei Unklarheiten können bei Spezialist*innen zusätzliche Untersuchungen durchgeführt werden. Dazu gehört beispielsweise die Darstellung der Hautzellen mit einem Laser (konfokale Laserscanmikroskopie). Eine weitere Möglichkeit ist die Darstellung der Hautschichten mit Licht (optische Kohärenztomografie). Im Zweifelsfall kann auch eine Gewebeprobe entnommen und unter dem Mikroskop untersucht werden (Histologie).
Behandlung
Eine Behandlung ist in der Regel nicht notwendig. In einigen Fällen werden Warzen jedoch entfernt. Das geschieht beispielsweise dann, wenn die Warzen kosmetisch stören, ständig mechanisch gereizt sind oder wenn die Diagnose unklar bleibt. Folgende Verfahren sind möglich:
- Ausschaben bzw. Auskratzen (Kürettage)
- Entfernung mit einem Skalpell (Shave-Exzision)
- Vereisung (Kryotherapie)
- Behandlung mit elektrischem Strom (Elektrodessikation)
- Laserbehandlung
- Behandlung mit Medikamenten auf der Haut (z. B. Wasserstoffperoxid, aber geringere Wirksamkeit)
Abbildungen
Autor
- Vincent Kranz, Cand. med., Hamburg
Quellen
Literatur
Dieser Artikel basiert auf dem Fachartikel Seborrhoische Warzen. Nachfolgend finden Sie die Literaturliste aus diesem Dokument.
- Altmeyer P. Die Online Enzyklopädie der Dermatologie, Venerologie, Allergologie und Umweltmedizin. Keratose seborrhoische (Zugriff 04.01.2020). www.enzyklopaedie-dermatologie.de
- Barthelmann S, Butsch F, Lang BM, et al. Seborrhoische Keratosen. JDDG: Journal der Deutschen Dermatologischen Gesellschaft. 2023;21(3):265-278. doi:10.1111/ddg.14984_g onlinelibrary.wiley.com
- Balin AK. Seborrheic keratosis. Medscape, 2018. emedicine.medscape.com
- Eigentler T. Melanozytärer Nävus/seborrhoische Keratose: Differenzialdiagnose nur in Einzelfällen schwierig. Supplement:Perspektiven der Dermatologie. Dtsch Arztebl 2019; 116(11) www.aerzteblatt.de
- Braun RP, Ludwig S, Marghoob AA. Differential Diagnosis of Seborrheic Keratosis: Clinical and Dermoscopic Features. J Drugs Dermatol 2017; 16: 835–42. www.ncbi.nlm.nih.gov
- Longo C, Moscarella E, Piana S, et al. Not all lesions with a verrucous surface are seborrheic keratoses. J Am Acad Dermatol 2014; 70:e121. www.ncbi.nlm.nih.gov
- Hafner C, Vogt T. Seborrheic keratosis. J Dtsch Dermatol Ges 2008; 6:664. PubMed
- Schwartz RA. Sign of Leser-Trelat. J Am Acad Dermatol 1996;35:88-95. PubMed
- Heaphy MR Jr, Millns JL, Schroeter AL. The sign of Leser-Trelat in a case of adenocarcinoma of the lung. J Am Acad Dermatol 2000;43(2 Pt 2):386-90. www.ncbi.nlm.nih.gov
Dieser Artikel wird Ihnen bereitgestellt von Deximed.
Lesen Sie hier den vollständigen Originalartikel.
Die Inhalte auf team-praxis.de stellen keine Empfehlung bzw. Bewerbung der beschriebenen Methoden, Behandlungen oder Arzneimittel dar. Sie ersetzen nicht die fachliche Beratung durch eine*n Ärzt*in oder Apotheker*in und dürfen nicht als Grundlage für eine eigenständige Diagnose und Behandlung verwendet werden. Konsultieren Sie bei gesundheitlichen Fragen oder Beschwerden immer Ihre Ärztin oder Ihren Arzt!
Lesen Sie dazu mehr in unseren Haftungshinweisen.




